矯正歯科とは about Orthodontic dentistry

矯正歯科では、歯並びを美しく整え、噛み合わせの問題を解決する治療を行ないます。歯並びが良くないと次のような悩みが出てきます。
1.虫歯や歯周病になりやすい
2.うまく食べ物を噛めない
3.口を大きく開くことに抵抗がある
4.言葉の発音が良くない
5.顎関節症の原因のひとつになる
6.脳や運動機能にも影響を与える
こうした点からも、歯並びの改善は単に見た目だけの問題でないことがわかります。口の中だけでなく、全身の健康にも影響を与えるのです。
健康的で快活な毎日の暮らしのために、矯正治療が果たす役割は非常に大きなものだと、ご理解ください。
矯正治療コンセプト

矯正治療で歯並びを整えると、食べ物が歯に挟まりにくくなったり、歯垢が溜まりにくくなるなど、虫歯や歯周病のリスクを抑えることにも繋がります。
矯正治療は「予防歯科」の側面も持っているのです。お子さまから大人まで、すべての患者さまが健康で笑顔に満ちた人生を送るために。
そのお手伝いとなる矯正治療をしたいと、当クリニックは考えています。
成人の矯正歯科

矯正治療で大切なのは、見た目の美しさという審美的な面と、しっかり噛めるという機能的な面の両方を達成することです。
快適な咀嚼は食事や会話を楽しいものにします。乱れた歯並びでは歯垢が溜まりやすく、虫歯・歯周病のリスクが高くなるので、矯正治療で改善するとこうしたリスクの予防にもなります。歯並びを整えることは、偏った筋肉の使い方の改善に繋がるので、口内だけでなく顔の歪みが正常に戻ることも。
矯正治療には、患者さまの症状や口内の状態、ご希望に応じて、さまざまな方法があります。

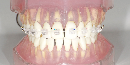
表側矯正
矯正治療で一般的に広く用いられているのが、表側矯正です。歯の表面にブラケットという装置を取り付けて、そこにワイヤーを通し固定する力で少しずつ歯を移動させます。
当クリニックでは目立たない矯正装置「セラミックブラケット」を使用できるので、金属製のブラケットに比べて、見た目に大きなデメリットを感じることなく治療に臨めます。装置の外観が気になって治療に二の足を踏んでいた方にもおすすめです。
セラミックブラケットは従来の装置に比べて費用がかかりますが、それに見合った満足感が得られる方法です。

裏側矯正
歯の裏側(舌側)に矯正装置を取りつける方法です。外からは矯正していることがわかりにくく、接客業などで見た目を考慮しなくてはならない方におすすめの方法となります。表側矯正では接触の危険性があるスポーツをされる方にも、安心して治療していただけます。
舌の動きに影響を与えやすいので、発音しにくいと感じる場合もあります。

部分矯正
歯並びや噛み合わせに問題のある部分だけ矯正する方法です。歯列全体に装置を取りつける場合と違って、短期間で費用を抑えて治療することができます。
部分矯正に適さないケースもあるので、まずはお気軽にご相談ください。

マウスピース矯正
マウスピース矯正は、他の矯正治療と違って、取り外し可能なマウスピース型のアライナーという矯正装置を用います。治療段階に応じて、新しいアライナーに変更しながら少しずつ歯を動かしていきます。
マウスピースは透明で装着していても目立ちにくく、取り外して食事をしたり、ご自身で洗浄することができるメリットがあります。
子どもの矯正歯科 小児矯正 Pediatric correction

子どもの矯正治療は、将来良い歯並びにするための準備です。早い段階で歯並びの問題を解決することで、顎の正常な発育を期待できます。
永久歯が生え揃う時期に矯正治療を開始する場合は、乳歯が抜けるのに合わせて治療を進めることができます。
子どものうちに矯正治療を受けると、次のようなメリットがあります。
より美しい口元に
することができる
小児矯正治療では、成長に合わせて顎のバランスを整えていけるため、将来の美しい口元を育てることができます。
永久歯を抜く
可能性が減る
顎の成長をコントロールして歯が生えるスペースを確保するので、矯正のために抜歯するリスクを減らせます。大人になってから大切な歯を抜かないために、早いうちの矯正治療は有効です。
将来的に負担が大きい
矯正治療をせずに済む
子どもの頃に矯正治療を行えば、将来的に再度矯正治療でバランスを整える必要が出てきた場合にも、永久歯の抜歯の可能性は低くなります。大がかりな治療で体に負担をかける必要もありません。
治療期間が
短く済む
成長を利用して矯正治療を進められるので、大人になってから行うのに比べて、治療期間を短くすることができます。
子どもの矯正(小児矯正)の進め方
子どもの矯正では大人と違い、治療は2期に分けて行います。
1期治療
乳歯と永久歯が混在する時期に、正しい歯並びや噛み合わせの位置を決める、骨格を整えることを中心とした治療です。永久歯を抜かずに歯が生えてくるスペースを確保できるので、でこぼことした歯並びの叢生を、改善することができます。出っ歯や受け口といった顎の前突にも効果が期待できます。
取り外し式の装置もあるので、お子さまへの負担も少なく、期間はおよそ2年程度です。その後は経過観察をします。
2期治療
思春期の頃に、生え揃った永久歯のバランスを整えることを中心に治療します。一期治療で改善できなかった部分を対象とするので、1期治療で効果が充分に得られた場合には必要ない場合もあります。1期治療の終了後に永久歯が生え揃ってから、ブラケットなどの矯正装置を用いて歯列を整えます。期間はおよそ2年程度です。
矯正治療の費用 FEE OF TREATMENT
成人矯正
| 矯正相談 | 費用はかかりません | |
|---|---|---|
| 検査診断料 | 矯正治療に先がけて、レントゲン写真、歯の模型、写真、計測など総合的に資料を集め診断するための費用です。診断の結果により治療期間が決まります。 | ¥55,000 |
| 表側矯正装置料 | 上下の歯の表に透明な装置をつけた矯正治療です。矯正治療の難易、治療期間によって多少異なります。分割払い相談可能です。 | ¥825,000 |
| 裏側矯正装置料(ハーフリンガル) | 上裏側・下表側(ハーモニーハーフリンガル) | ¥1,312,000 *チェック料 ¥6,600 |
| 部分矯正装置料 | 表側(治療は2歯〜) | ¥30,800/1歯 |
| 部分矯正装置料 | 裏側(治療は2歯〜) | ¥41,800/1歯 |
| マウスピース矯正 | インビザライン | ¥924,000 |
| ※チェック料 | チェック料を記載していない治療項目には、それぞれ別途チェック料がかかります。 矯正装置装着後、来院処置時にお支払いをお願いいたします。 |
¥5,500 |
小児矯正
| 矯正相談 | 費用はかかりません | |
|---|---|---|
| 検査診断料 | 矯正治療に先がけて、レントゲン写真、歯の模型、写真、計測など総合的に資料を集め診断するための費用です。診断の結果により治療期間が決まります。 | ¥55,000 |
| 表側矯正装置料(1期治療) | 上下顎の関係を改善し、将来永久歯が良好な状態で配列できるようにします。 分割払い相談可能です。 |
¥330,000 |
| 表側矯正装置料(2期治療) | 個々の歯の配列を整え、上下歯列が良好に咬合できるようにします。分割払い相談可能です。 | ¥440,000 |
| ※チェック料 | チェック料を記載していない治療項目には、それぞれ別途チェック料がかかります。 矯正装置装着後、来院処置時にお支払いをお願いいたします。 |
¥5,500 |
